Все обследования, операция и восстановление за семь дней
У меня в течение двух лет болела голова. Списывал на шею, пока не случился эпилептический припадок. В Казахстане провели обследование, и обнаружили доброкачественную опухоль. Врачи предложили лечиться таблетками — снимать симптомы, а операцию откладывали.
На всякий случай я поехал на обследование в Южную Корею. Как оказалось, болезнь была не такой безобидной. Рассказываю со всеми подробностями.
Лечение в Казахстане: рекомендовано наблюдение;
Где лечился: Госпиталь Святой Марии в Пучоне, Корея, нейрохирург профессор Ик Сонг Пак;
Диагноз в Корее: рак в начальной стадии — диффузная астроцитома;
Лечение: удаление опухоли малоинвазивным способом — хирургия замочной скважины через отверстие в 1 см, без классической краниотомии;
Результат: полное выздоровление, раз в полгода контрольное МРТ.
С чего все началось
У меня появились головные боли. Я не обращал на них внимания, только пил обезболивающие. Но однажды во сне у меня случился эпилептический приступ.
Это произошло в 2019 году, через два года после первых симптомов. О припадке мне рассказала супруга. С ее слов я узнал, что резко вскочил с кровати и побежал на лоджию. После чего упал в судорогах на пол.
Сам я помню, что очнулся на лоджии, болели мышцы во всем теле, видимо, от спазма. Через несколько минут меня уже везли с подозрением на инсульт в больницу.
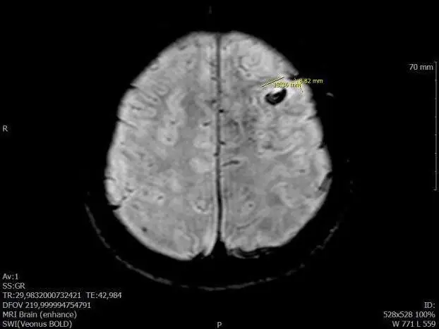
В инсультном центре мне сделали магнитно-резонансную томографию (МРТ). Она показала доброкачественную опухоль — кавернозную гемангиому. Врач предположил, что все симптомы были связаны с ней.
Кавернозная гемангиома (кавернома) — сосудистое образование, которое может быть с самого рождения. Обычно опухоль не требует лечения. Ее удаляют, если появляется эпилепсия, провалы в памяти или другие нарушения.

В больнице я провел шесть дней — с 18 по 24 октября. Мне назначили противосудорожные лекарства и наблюдали за моим состоянием. Также для поднятия гемоглобина мне прокапали курс препаратов от анемии.
Еще в больнице я стал думать, что делать дальше. У медиков в Казахстане не было четкого плана действий: отправляли то к одному врачу, то к другому. Предлагали медикаментозное лечение, чтобы снять симптомы и приступы. А чтобы попасть на операцию, нужно было пройти длительное обследование и ждать своей очереди в Национальном нейрохирургическом центре.
Я хотел быть уверен, что опасности нет. Поэтому решил подстраховаться и пройти обследование в Южной Корее.
Вопрос выбора клиники передо мной не стоял. До этого я лечился в городе Пучоне в госпитале Святой Марии, но с другими проблемами. К тому же я хорошо знаю врача в этой больницей. Профессор Ик Сонг Пак — опытный и известный нейрохирург. Давно к нему отправляю пациентов на операции.
Приезд в госпиталь Святой Марии
В госпитале Святой Марии в Пучоне у меня сложились дружеские отношения с доктором международного отдела Ким Джу Ми. Она училась в России, поэтому хорошо говорила по-русски. Я сразу переслал ей снимки и позвонил, чтобы обсудить мою проблему.
Доктор Джу Ми после консультации с нейрохирургом и неврологом сказала, что опухоль придется удалить. Нужно посмотреть точно, что это за образование и насколько оно опасно.
Сразу после этого разговора на первом рейсе я вылетел в Южную Корею.
Ночь с 24 по 25 октября я провел в самолете, а утром уже отправился на обследование в госпиталь Святой Марии. Это многопрофильный Университетский госпиталь, где лечат любые болезни: от аллергии и онкологии до пересадки органов.

Меня сразу госпитализировали. В этот раз поездка была неожиданной, и я решил сэкономить, тем более ехал один. Вместо отдельной комнаты выбрал самую простую четырехместную палату в старом корпусе.
«Всего в больнице четыре корпуса, в двух есть палаты. Я поселился в старом, потому что стоимость проживания здесь в два раза ниже, чем в новом».
Моя палата была экономкласса, но уютной. У меня была многофункциональная постель с регулируемой спинкой и шторкой, которая полностью закрывала меня от других пациентов. Я мог пользоваться личным шкафчиком с электронным замком, тумбочкой и общим холодильником в палате.
Помимо этого, в международном отделе мне выдали бытовые принадлежности: тапочки, бутылку для воды, пижаму, зубную щетку, пасту, мыло, шампунь и полотенце. К питанию у меня тоже претензий не возникло. Я заказывал свои любимые блюда в палату из местного кафе. Обед мне обходился в 8—13 дол.
Если самочувствие позволяет жить вне больницы, то можно остановиться в местной гостинице за 50 дол в сутки.

Сравнение и выбор палат
В госпитале Святой Марии можно подобрать палаты под свой бюджет. В новом корпусе палаты просторней и оснащены специализированным сервисом, поэтому можно обойтись без опекуна.
Стоимость в новом корпусе за сутки:
- 410$ — 1‑местная палата, туалет, душ и кушетка для сопровождающего;
- 275$ — 2‑местная палата, туалет, душ и кушетка для сопровождающего;
- 200$ — 4 местная палата, кушетка для сопровождающего, общий туалет и душ в каждой палате.
В старом корпусе стоимость проживания за сутки почти в два раза дешевле:
- 240 $ — 1‑местная палата, туалет, душ и кушетка для сопровождающего;
- 130 $ — 2‑местная палата, туалет, душ и кушетка для сопровождающего;
- 100 $ — 4‑местная палата, кушетка для сопровождающего, туалет и общий душ на 4 палаты.


Подготовка к операции
В больнице в первый же день у меня взяли анализы крови, мочи, сделали компьютерную томографию, магнитно-резонансную томографию, сняли электрокардиограмму. В общем, провели полное обследование для постановки диагноза и подготовки к операции.
Я лежал в палате, за мной заходила медсестра и провожала на очередную процедуру.
Обычно в первый день пациента сопровождает координатор-переводчик. Но я и так знаю, как все устроено, ведь регулярно консультирую клиентов Медмоста. Поэтому в этот день отказался от этих услуг. Медсестра просто говорила название процедуры, а я следовал за ней.
В тот же день меня начали готовить к операции. Все показатели организма приводили в норму, чтобы уменьшить вероятность осложнений.

Операция без трепанации черепа
На следующий день после обследования были готовы все анализы, и я пошел на консультацию к нейрохирургу. Со мной уже был переводчик, который переводил все, что мне говорили про операцию.
Я поинтересовался, почему выбрали операцию, а не радиохирургию. Врач сказал, что альтернатив в моем случае нет. Им нужно обязательно изучить мою опухоль, чтобы посмотреть тип клеток.

Доктор Ик Сонг Пак меня успокоил. Операция в моем случае абсолютно безопасна: опухоль находится в месте далеком от важных мозговых центров.
Перед операцией проведут компьютерную нейронавигацию: по КТ и МРТ хирург спланирует каждое действие с точностью до миллиметра. После чего опухоль удалят методом keyhole surgery («хирургия замочной скважины»).
Мне показали, что над бровью просверлят отверстие и через него удалят каверному. Голову не будут брить налысо, только немного подстригут волосы в том месте, где будет место разреза.

Классическая краниотомия (трепанация черепа) — после такой операции сильно повреждаются череп, нужно брить голову, восстанавливаться от месяца до полугода

Плюс хирургии замочной скважины в том, что минимально травмируется череп, не нужно полностью брить голову и восстанавливаться после лечения занимает неделю
Доктор сказал, что во время операции возьмут биопсию. Это метод диагностики, при котором из организма забирают больные ткани и клетки для изучения. С его помощью можно подтвердить онкологическое заболевание.
Обычно полные результаты исследования опухоли можно получить через 7— 14 дней. Но в этой больнице проводят экспресс-биопсию.
Через два дня после консультации меня записали на операцию. Она проходила под полным наркозом и заняла 3,5 часа. Хотя по плану она должна была занять всего около полутора часов.
«Экспресс-биопсия показала предположительно злокачественные клетки. Поэтому время операции увеличилось. Из-за подозрения на онкологию мне сделали широкое иссечение — как делают при злокачественных опухолях.»
Доброкачественную опухоль удаляют прямо по контуру, максимально сохраняя соседние ткани. Но для удаления злокачественных образований используют широкое иссечение с захватом здоровых тканей. В моем случае это было необходимо, потому что врач заподозрил развитие рака — и не ошибся. Послеоперационное исследование подтвердило его догадку.
Восстановление
Сразу после операции я проснулся в реанимации. В Корее точно рассчитывают анестезию так, чтобы свести к минимуму побочку от наркоза. Все болело, шов на голове и место, куда был вставлен катетер.
Мне сразу назначили сильные обезболивающие. В Корее в первую очередь стараются убрать боль, потому что боль ведет к спазму, а спазм ведет к нарушению кровообращения и неправильной работе органов.

На следующий день меня уже перевели в обычную палату и сказали, чтобы я больше ходил. Боли я уже не чувствовал. Несмотря на сонливость и заторможенность от обезболивающего, я старался больше ходить, как мне советовал врач.
В прошлый свой приезд в больницу я мог ходить по всей больнице, но теперь пропускную систему усилили. Чтобы пройти в свое отделения, я должен был приложить браслет к замку со сканером. Но места для прогулок все равно хватало: я мог ходить по общим холлам больницы, по кафе и магазинам на территории, гулять по парку на крыше и перед больницей. Это здорово, потому что постоянно лежать в палате тяжело, хочется сменить обстановку.

Мне повезло, что брат с женой живут в Корее. Они навещали меня во время лечения, и мы вместе гуляли по больнице.
Через три дня после операции меня выписали из больницы. Мне сказали, что через десять дней я должен прийти на повторное обследование и снять швы.
После лечения
Все десять дней я провел у брата, который живет в Корее. Не только хорошо провел время, но и сэкономил на гостинице.
11 ноября пришел в последний раз в больницу, чтобы снять швы. Мне сделали повторное МРТ и прописали противоэпилептические лекарства — по протоколу их надо принимать полгода. Результаты полного иммуногистохимического и генетического исследования опухоли обещали прислать по электронной почте.
Уже дома я получил письмо о том, что у меня был рак в начальной стадии — диффузная астроцитома. Оказалось, что она находилась в том же месте, где и моя доброкачественная опухоль. Можно сказать рак был скрыт под ней, поэтому на МРТ его не видно.

Результаты анализов показывают наличие раковой опухоли diffuse astrocytoma — диффузная астроцитома
Скорее всего, эпилептические припадки и головные боли были связаны с онкологией, а не доброкачественной опухолью. Получилось, что я приехал лечить одну болезнь, а вылечил другую — гораздо более опасную.
Теперь мне всю жизнь нужно регулярно делать МРТ головного мозга. Первое обследование сказали сделать через полгода. Я могу делать МРТ в Казахстане и отправлять снимки в Корею, или сразу обследоваться в Корее, на мой выбор.
Стоимость лечения
Перед поездкой пациенту считают предварительную стоимость лечения. Часто она рассчитывается таким образом: берут похожую историю болезни другого пациента и озвучивают стоимость его лечения. Поэтому конечная стоимость лечения может варьироваться в большую или меньшую сторону, ведь каждая болезнь индивидуальна. Мне назвали предварительную стоимость 30 000 $.
В Корее стоимость лечения считают точно уже после лечения: в счет включают каждую процедуру, обследование, анализ и одноразовый операционный инструмент.
Полный счет перед выпиской:

Скан полного счета выставленного мне после лечения 32 904 020 вон — это примерно 27 000 долларов
- Основные расходы:
- 10 000 $ — операция;
- 7 000 $ — генетическое исследование опухоли и все лабораторные анализы;
- 1 500 $ — МРТ и КТ до и после операции;
- 1 400 $ — наркоз;
- 1750 $ — медицинские расходные материалы, операционные инструменты;
- 910 $ — семь дней госпитализации, 130 $ один день госпитализации в больниц;
- Бесплатно — переводчик, трансфер аэропорт-больница-аэропорт;
- Общие расходы на лечение: 27 000 $
- + 800 $ перелет + 210 $ семь дней трехразовое питание из кафе.
От шрама остались одни воспоминания
Все это время я следил за тем, как поживает мой послеоперационный шрам. Благодаря операции методом «замочная скважина» от удаления опухоли не осталось шрама.



Получить второе мнение врача с планом лечения
Опишите ситуацию, укажите контакты, и врач-координатор свяжется с вами чтобы обсудить подробности.
