Кибер-нож — технология лечения доброкачественных и злокачественных опухолей в любой части тела. Во время процедуры рентгеновские лучи разрушают опухоль и не вредят окружающим тканям. Расскажем, чем кибер-нож отличается от других методов лечения, когда применим и как проходит процедура.
- Что такое кибер-нож
- Насколько безопасно лечиться кибер-ножом
- Кому подходит лечение кибер-ножом
- Примеры лечения киберножом
- Как подготовиться к лечению кибер-ножом
- Как проходит сеанс лечения кибер-ножом
- Когда будут известны результаты лечения
- Сколько стоит лечения кибер-ножом за границей
- Что делать, если случился рецидив
- Где лучше лечиться
- Бесплатная онлайн консультация
Что такое кибер-нож
Кибер-нож — разновидность радиохирургии. Под термином «радиохирургия» подразумевают стереотаксическую лучевую терапию. Но по эффективности она сравнима с операцией, поэтому название упростили до «радиохирургии». Хотя во время лечения не нужно давать наркоз и делать разрез.
Радиохирургия — это разновидность лучевой терапии. Обычно во время лучевой терапии поток радиации направляют на опухоль: она перестает расти, и ее клетки погибают. Но и здоровые клетки вокруг опухоли тоже погибают от радиации. Разрушенные клетки впоследствии утилизируются организмом, и на их месте появляются здоровые. Чем больше клеток погибло, тем дольше будет восстановление. Радиохирургическое облучение поражает только саму опухоль. Поэтому такую процедуру легче перенести.

Так выглядит кабинет радиохирургии:
- линейный ускоритель;
- робот-манипулятор, который контролирует положение ускорителя;
- детекторы изображений и
- камера для синхронизации процессов посылают данные на компьютер врачу, чтобы отслеживать процедуру;
- источники излучения.
Радиохирургический метод такой точный, потому что в нем используется принцип стереотаксиса: место опухоли определяют в трехмерной системе координат. Это позволяет направить несколько тонких пучков излучения с разных сторон в одну точку. По отдельности каждый из пучков, проходя через тело человека, не имеет радиоактивного эффекта, но, собираясь в одном центре, они создают там высокую дозу радиации.
По имеющимся МРТ и КТ снимкам компьютер строит трехмерную модель опухоли простаты и выделяет красным зону высокого облучения
Поскольку этот метод назвали хирургией, то аппараты, используемые для лечения, называют «ножами». Это источники излучения. Кибер-нож — подвижная установка, поэтому ее можно использовать для лечения рака любого органа.
Насколько безопасно лечиться кибер-ножом
В киберноже источник радиации — линейный укоритель. Доза облучения во время лечения кибер-ножом зависит от опухоли.
Во время процедуры рентгеновское излучение в ускорителе кибер-ножа разделяется на отдельные пучки и облучают со всех сторон. Каждый доставляет высокую дозу радиации со своей стороны, так высокое облучение получает только опухоль на пересечении лучей. Поэтому это так же безопасно, как и флюорография.
Пример того, как работает кибернож. Облучение идет со всех сторон, но высокая доза радиации создается в центре опухоли. процесс отражается на мониторе. Врач следит за тем, чтобы радиация не распространилась на здоровые ткани
Благодаря подвижности линейного ускорителя доставить изучение к опухоли можно под любым углом. Точное наведение контролирует компьютер, поэтому жесткая рама здесь не нужна
Кому подходит лечение кибер-ножом
Технологию применяют как у взрослых, так и у детей. Заболевания, при которых лечение киберножом помогает:
- локализованная опухоль и метастазы в легких
- опухоли поджелудочной железы
- метастазы в печени
- опухоли и метастазы в позвоночнике
- невралгия тройничного нерва
- артерио-венозные мальформации
- опухоли и метастазы головного мозга
- лекарственно-устойчивая эпилепсия
- болезнь Иценко — Кушинга
- локализованный рак простаты
- локализованный рак почек
- невринома слухового нерва
- невринома слухового нерва
- первичные опухоли носоглотки, рта, пазух носа
- опухоли орбиты
- опухоли гортани
Показания к лечению кибер-ножом — Reports of Practical Oncology & Radiotherapy
Хирургическое лечение эпилепсии — Epilepsy Research
В настоящее время проводятся клинические испытания кибер-ножа в лечении функциональных расстройств. Таких, как:
- обсессивно-компульсивное расстройство
- депрессия
- паркинсонизм
- фибрилляция предсердий
Примеры лечения киберножом
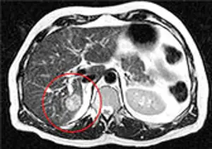
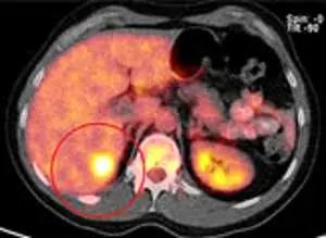
Лечение метастаза рака кишечника в печени кибер-ножом
МРТ-исследование метастаза рака кишечника в печень
На ПЭТ-КТ выявляется биологическая активность в центре опухоли
МРТ печени через 8 недель после лечения. Терапия была проведена под контролем фаз дыхания Киберножом. Опухоль разрушена, центральный некроз, реакция окружающих тканей минимальна
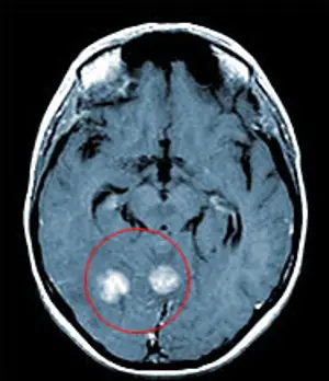
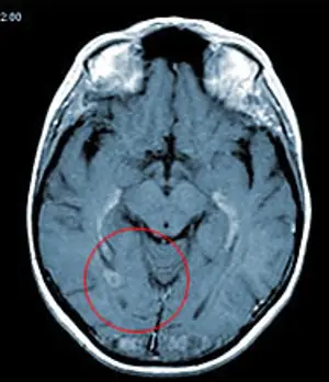
Лечение метастазов рака легкого в головном мозгу кибер-ножом
МРТ-изображение с двумя метастазами рака легкого в головной мозг
Оба метастаза были удалены за один сеанс, длительностью 1 час. На снимке результат контрольного обследования через 4 месяца после лечения. Обе опухоли были удалены, после лечения пациент в тот же день вернулся к работе
Лечение метастазов почечно-клеточного рака в позвоночном столбе кибер-ножом
Изображении ПЭТ-КТ с метастазом почечно-клеточного рака в позвоночном столбе
Через 6 месяцев после лечения Киберножом. Контрольный снимок показал отсутствие опухоли, в области прежнего поражения образовалась костная мозоль
Лечение доброкачественной опухоли в головном мозгу кибер-ножом
На МРТ-изображении акустическая невринома, в правой части мозжечка
Результат после одного сеанса лечения Киберножом спустя 2.5 года. Виден типичный рубец в области внутреннего слухового прохода. Доброкачественная опухоль была успешно вылечена
Лечение церебральной артериовенозной мальформации у 15-летнего пациента

Церебральная артериовенозная мальформацию до лечения

После лечения
Лечение метастазов рака простаты кибер-ножом
При лечении рака простаты кибер-нож применяют как один из методов лечения. История лечения рака простаты в течении 10 лет — гормональной терапией, лучевой терапией и кибер-ножом. Сейчас пациент в ремиссии. Читать полную историю
Статья — современные методы лечения рака простаты
«В начале декабря я ездил в центр радиохирургии Сигулда всего на три дня, меня облучали по десятым долям миллиметра, целясь в метастазы в ребрах, позвоночнике и лимфоузлах. На третий день после обеда я сел за руль и поехал домой. Побочных эффектов не было — чувствовал себя хорошо.» Пациент с раком простаты 3 стадии
Противопоказания лечению кибер-ножом
- размер опухоли больше 6 см
- количество метастазов больше 5
- опухоли, уничтожение которых приведет к образованию свища, например опухоль мочевого пузыря
- беременность и период лактации
Преимущества лечения кибер-ножом
- В среднем может обойтись на 30% дешевле, чем обычная операция, потому что не требует наркоза и послеоперационной реабилитации.
- Радиационное влияние на окружающие опухоль ткани минимально, поэтому осложнения встречаются в два раза реже, чем после хирургической операции.
- Рецидивы метастазов встречаются в три раза реже.
Узнать подходит ли кибер-нож в вашем случае
Как подготовиться к лечению кибер-ножом
Перед началом лечения нужно пройти обследования. Они подтвердят диагноз и дадут представление о размерах и местонахождении опухоли.
- УЗИ или ТРУЗИ, если опухоль в предстательной железе.
- КТ, МРТ уточняют размеры опухоли и наличие метастазов.
- Онкомаркеры. Для их обнаружения нужно сдать кровь из вены. Это не обязательный анализ, но в комплексе с другими обследованиями он помогает определиться с дальнейшим лечением.
- Биопсия. С помощью микроскопа и специального инструмента врач берет от 12 до 14 кусочков опухолевой ткани. Затем их оценивает патологоанатом. Результаты биопсии помогают поставить точный диагноз.
- Позитронно-эмиссионная томография (ПЭТ). Обычно сочетается с компьютерной томографией. Перед этой процедурой пациенту вводят небольшое количество радиоактивного вещества. Оно попадает в раковые клетки, потому что они потребляют больше всего энергии. Затем сканер создает изображение очагов с наибольшей концентрацией маркеров. Такой метод точно показывает размеры опухоли и количество метастазов.
Если вы делали все обследования на родине, но едете лечиться за границу, переделывать их не нужно. При условии, что качество снимков достаточное. Хирург сам оценивает это и, если нужно переделать, заранее предупреждает. Если вам не хватает каких-то анализов, вы можете сделать их либо в своем городе, либо уже за границей.
Пациент и врачи готовятся к процедуре лечения киберножом в течение недели, иногда двух недель. Подготовка идет в три этапа:
- Маркировка. Проводится для опухолей, которые движутся во время дыхания. Например, опухоли легкого, печени, предстательной железы. За неделю до процедуры устанавливаются от 3 до 5 золотых маркеров размером с рисовое зерно. Они нужны как опорные точки, чтобы точно определить нахождение опухоли. Маркировку делает врач под контролем УЗИ. Процедура напоминает биопсию и может быть совмещена с ней.
- Моделирование. Через неделю после маркировки врач делает КТ- и МРТ-снимки. Это нужно для уточнения размеров и положения опухоли. После этого медицинская команда, уже без вашего участия, проводит расчеты и создает компьютерную симуляцию. Так рассчитывается наилучшее положение тела и линейного ускорителя.
- Планирование. Используя полученные КТ- и МРТ-снимки лечащая бригада рассчитывает дозу и напраления излучения.
Общие рекомендации перед процедурой:
- Ничего не ешьте после полуночи накануне процедуры и старайтесь меньше пить. Это уменьшит тошноту.
- Если вы принимаете какие-то лекарства, спросите у врача, можно ли их принимать накануне вечером или утром в день процедуры.
- Сообщите врачу, если у вас есть кардиостимулятор, искусственный клапан сердца или другие имплантаты. Они могут помешать работе радиохирургической установки.
- Перед процедурой заранее снимите ювелирные украшения, очки, зубные протезы и другие металлические предметы. Они могут накапливать незначительное количество радиации.
- Если у вас клаустрофобия, скажите врачу. Вам дадут успокаивающее или пригласят родных. В крайнем случае возможен наркоз.
Кто выполняет процедуру
Радиохирургия — это командная работа. В ней участвуют:
- Лечащий врач онколог-радиолог или при лечении головы нейрохирург. Он рассчитывает объем вмешательства и дозу излучения. При лечении метастазов в голове,
- Медицинский физик и дозиметрист определяют положение линейного ускорителя. Так доза излучения будет попадать точно в центр опухоли. Эти же специалисты рассчитывают время, которое потребуется линейному ускорителю, чтобы доставить в опухоль нужную дозу. По сути, это время процедуры.
- Техник-радиолог перед каждым сеансом проверяет точность работы установки. Это вопрос безопасности: чем точнее в центр опухоли попадает доза, тем меньше пострадают окружающие ткани.
- Врач-радиолог проводит сеанс терапии, непосредственно управляя линейным ускорителем. Иногда это делает сам лечащий врач.
Как проходит сеанс лечения кибер-ножом
1. Во время процедуры пациент в своей обычной одежде неподвижно лежит на столе установки.
Медперсонал помогает занять правильную и удобную позицию и рассказывает о ходе процедуры
Чтобы легче было лежать не двигаясь, перед операцией готовят специальную форму-матрас, которая точно повторяет контур тела2. Линейный ускоритель, управляемый врачом, бесшумно перемещается вокруг стола с пациентом. Облучение происходит с 200—300 позиций. Радиацию пациент не чувствует.
3. Врач находится в соседней комнате и общается с пациентом через громкую связь.
Мониторы, за которыми работает врач, стоят напротив окна в операционную. Поэтому врач постоянно наблюдает за вашим состоянием4. Один сеанс длится 30—90 минут. В зависимости от размера опухоли, может потребоваться несколько сеансов, которые проводят в течение 4—5 дней.
5. Во время процедуры пациента могут сопровождать близкие.
После процедуры
Общие рекомендации такие:
- После сеанса можно есть и пить.
- В день последнего сеанса пациентов отпускают домой.
- К обычной жизни и работе можно возвращаться в течение одного-двух дней.
Перед лечением врач подробно расскажет о возможных рисках и побочных эффектах. Они зависят от места, где была опухоль. Например, при лечении рака простаты может быть эректильная дисфункция и учащенное мочеиспускание.
Общие для всех локализаций побочные эффекты:
- Тошнота.
- Усталость и быстрая утомляемость.
Если появились побочные эффекты, свяжитесь с лечащим врачом, он расскажет, что делать. Следуйте рекомендациям и симптомы пройдут через несколько недель.
Когда будут известны результаты лечения
Лечебный эффект наступает постепенно. Доброкачественные опухоли уменьшаются в размере от 18 месяцев до двух лет. Злокачественные опухоли уменьшаются быстрее, часто в течение нескольких месяцев. То, насколько быстро вы почувствуете улучшение, зависит от возможностей организма.
Результаты исследований эффективности лечения кибер-ножом, статьи на английском в журнале Astro и журнале European Urology Oncology
После лечения врач даст рекомендации о том, когда и какие анализы сдавать. Показывайте результаты обследований лечащему врачу на родине или отправляйте в клинику, где проходило лечение киберножом. Это бесплатно и нужно, чтобы следить за прогрессом.
Сколько стоит лечения кибер-ножом за границей
Лечение кибер-ножом — это высокотехнологичный метод лечения, с научно доказанной эффективностью.
Поэтому в России он включен в перечень услуг, на которые по ОМС выделяют квоты. Спросите у своего лечащего врача о том, как получить квоту на лечение кибер-ножом. И сколько квот в регионе есть.
Если есть медицинские показания и льготные места на лечение, оформление документов и одобрение квоты занимает около месяца. Но если квота получена, на лечение сразу вы не попадете. Придется еще ждать очереди в онкоцентре, где лечение будет проходить. Это может занять еще месяц.
В Казахстане кибер-ножа нет.
Как выбрать клинику для лечения рака за границей, статья в MedMost
Оцените свои финансы, возможно, стоит пройти лечение платно за границей. В помощь мы привели таблицу со средними ценами за 2020 год по странам, которые специализируются на лечении кибер-ножом.
| Страна | Стоимость за курс лечения с планированием |
|---|---|
| Россия | 3500–5500 дол |
| Израиль | 18000–35000 дол |
| Германия | 15000–25000 дол |
| Южная Корея | 13000–17000 дол |
| Латвия | 11000–13000 дол |
Что делать, если случился рецидив
Мы заранее обговариваем риск рецидива и то, что во время лечения онкологии ни одна клиника не дает 100% гарантии на отсутствие рецидива. «Медмост» находит такую клинику для лечения, в которой реже всего встречаются осложнения и рецидивы, которая специализируется на конкретном диагнозе.
Помощь в случае рецидива
«Зарубежные клиники поддерживают связь со своими пациентами и после выписки. Поэтому, если ухудшилось состояние, свяжитесь со своим лечащим врачом. Если подтвердится рецидив опухоли, то некоторые клиники сделают скидку на повторное лечение. Например, центр радиохирургии Сигулдской больницы делает скидку от 25 до 50% при рецидиве опухоли предстательной железы.
В случае лечения в Корее и Турции, если случился рецидив, то на все последующее лечение компания „Медмост“ дает 5%-й кешбэк. Например, если после лечения проходит год, пациент проходит контрольное обследование, а у него обнаруживается рецидив, то пациент оплачивает лечение, а после этого в течение месяца мы возвращаем ему 5% от этой суммы» Владимир Тен
Врач по образованию, основатель «Медмоста»
Где лучше лечиться
«Стоимость лечения в разных клиниках одной страны может отличаться. Она зависит от уровня клиники. Поэтому удобнее обратиться к медицинскому представителю, который отправит запросы в несколько клиник и предоставит вам для сравнения цены. Решение остается за пациентом»
Владимир Тен, врач по образованию, основатель «Медмоста»
Бесплатная онлайн консультация
Чтобы сразу получить подробную консультацию ведущих врачей, расчет стоимости и план лечения — опишите ситуацию, загрузите имеющиеся у вас документы: выписки, результаты ПЭТ КТ, МРТ, КТ, ПСА, онкомаркеры.
















